新闻资讯

News

高发眼部疾病有几种?如何让眼 “视界”更美好?

2022-05-12
栏目导语

近年来,随着老龄化社会的到来以及用眼习惯的改变,眼底病、屈光不正、青光眼、视网膜病变等词汇频繁进入我们的视野。目前,我国已有超过4000万的眼底病患者,患者总数位居全球第一。如何筛查、评估和诊疗眼科疾病,让万千患者守住光明、并自由地享受生活?这也是实现“十四五”全国眼健康规划的重要一环。

想要实现对眼科疾病的早诊早治,很大程度上基于眼科影像学的发展。

我国眼科影像技术如今已有70余年发展史,从眼底血管造影到眼部超声检查,从眼底照相机到MRI,尤其是OCT的出现…无不促进了眼科诊疗水平的整体提高。但全民眼健康仍任重道远。

凌云光拥有丰富视觉技术积累和久经验证的应用经验,为此,我们发起了《眼科影像新势力》专栏,一方面用以展示眼科影像前沿技术、先进器件和优选解决方案,助力眼科从业者更好地理解眼科成像的奥秘,另一方面也将聚焦眼健康分享科普干货,帮助眼视光患者更好保护眼睛。“Better Vision,Better Life”,让眼科成像的先进成果能够惠及到更多的人。

记录这世界的,除了笔记本,还有我们的眼睛。

眼睛的神奇构造

一个人一天要眨眼一万次,平均记录1382400幅不同的画面。每只眼睛内部约有1亿多个感光细胞,能够快速捕捉外界的光影变化、颜色、空间、形状、纹理变化…人类对自然的认识,80%的信息来自于眼睛

 

人眼的形态,更近似球形。刚出生婴儿的眼球前后直径在16mm左右,正常成年人眼球的前后直径通常在24到25mm之间,重量约为7克左右。一般情况下,每隔3秒钟左右,眼睛原则上会有一次不自主的眨眼,这也被称为「瞬目过程」。小小的眼球里,体现着造物者的神奇,由晶状体、角膜、玻璃体、房水、虹膜、巩膜、视网膜、脉络膜等构成。


哪几种眼睛疾病最常见?

眼睛是人体最忙碌的器官之一,但它们其实也很脆弱。在三高群体(高血压、高血糖、高血脂)、高龄、高度近视群体中,眼睛发生病变的概率更高。眼睛病变主要包括眼底病、屈光不正、青光眼、白内障等。

 

眼底病,是指发生在眼底部位的病变,不单单指某一种具体疾病,而是眼底所有疾病的一个总称,包括视网膜、视盘和脉络膜发生的病变。如果把人的眼睛比作一台相机,那么眼底的状况则直接关系到成像质量的好坏。眼底病一般会表现为眼前黑影飘动、视力明显下降等。我国目前有超过4000万的眼底病患者,患者总数位居全球第一。然而,眼底病患者的实际诊疗率却非常低,国内平均规范治疗率不足20%。

 

青光眼,也被称为“沉默的光明杀手”,是常见的眼科疾病之一,也是可以致盲的眼科疾病,总人群发病率为1%,45岁以后为2%。青光眼一般是由于眼压升高而引起的病理改变,一般会出现眼胀、眼痛、畏光,甚至头痛等表现。

 

屈光不正,是指眼在不使用调节时,平行光线通过眼的屈光作用后,不能在视网膜上形成清晰的物像,而在视网膜前或后方成像。这里就包括大多数人并不陌生的远视、近视及散光,表现为视力疲劳或者视力受到影响。在儿童青少年中,近视问题尤为严峻,光学配镜是矫正光不正的主要手段。需要注意的是,高度近视也可能会引发致盲眼病。

 

白内障,也是最常见的致盲眼病,多是由于晶状体蛋白质变性而发生混浊,此时光线被混浊晶状体阻扰导致视物模糊。年龄越大,发病率越高。2015年WHO曾报道,全世界累计约2.85亿人视力受损,51%的失明和33%的视力障碍由白内障引起。不过,区别于青光眼,白内障患者是有可能复明的。

 

我们说眼睛是心灵的窗户,确实如此,当眼睛出了问题,相当于整个世界也被关掉了一部分。尽管这很少危及生命,但足以给个人、家庭乃至社会带来严重的影响。

让眼“视界”更美好的几种方法

保护好眼睛,并做好对眼睛的早监测、早发现、早干预、早治疗都是非常重要的。今天我们正处在一个“四处皆屏”的大屏时代,有数据显示,全球人均屏幕使用超每天5小时,95%的成年人在上床睡觉之前会使用电子设备。


 

  • 20-20-20法则

盯屏幕的时间过长、不合理的用眼,是眼睛发生病理性变化的重要诱因,很多专家会建议少看手机。可是,工作需要、社交需要…做不到肿么办?没关系,还有一招,那就是20-20-20法则:每看屏幕20分钟,就看向20英尺(约合6米)以外的物体,让眼睛休息20秒,这样就可以让眼部肌肉得到一定的放松,也是很重要的哟!

 

  • 常规眼睛检查

好好保护了,眼睛还是出现问题了,怎么办?这个时候就需要尽快来医疗机构进行眼睛检查,尽早采取干预措施来减少眼疾的发生和发展。一般包括视力检查(包括远视力、近视力及矫正视力)、眼压、裂隙灯、眼底等。


  • 眼科影像检查

不过,引起眼部疾病的原因是多样的,因此有时候还需要特殊的眼科影像检查,比如说OCT成像技术和眼底造影技术


OCT成像是一种成像技术,利用低相干光从光学散射介质(如生物组织)内捕捉微米级分辨率的二维和三维图像,尤其适用于眼科应用和其他需要微米分辨率和毫米穿透深度的组织成像,主要具有四大优势:非侵入式,可对活体组织形态迅速、直接的成像;分辨率可达微米级;没有电离辐射;毫米级成像深度。详情可查看此链接:OCT成像 | 每一双眼睛背后的“光明守护者”



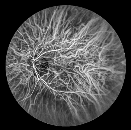
眼底造影,是通过将能够发出荧光的造影剂经静脉注入受检者体内,同时利用有特殊滤光片组合的眼底照相机进行眼底照相,动态观察造影剂在眼底视网膜及脉络膜循环全过程,能在活体人眼中反映出视网膜屏障的受损状态,动态捕捉视网膜大血管至毛细管的生理、病理情况。详情可查看此链接:眼底血管造影,给眼睛“照个相”!

ICGA影像

 

END

看得见、看得清楚、看得准确和明白,才能最大程度的享受生活。近年来随着视觉技术的发展,成像性能得以大幅提升,在眼睛的诊断治疗中发挥着越来越重要的作用。让每个人都能拥有享有光明,需要越来越多的“光明守护者”的加入,凌云光希望依托于数十年来积累的视觉技术为眼科产业的发展贡献微薄力量。如您想了解更多,欢迎拨打400 829 1996电话垂询!