近年来,随着老龄化社会的到来以及用眼习惯的改变,眼底病、屈光不正、青光眼、视网膜病变等词汇频繁进入我们的视野。目前,我国已有超过4000万的眼底病患者,患者总数位居全球第一。如何筛查、评估和诊疗眼科疾病,让万千患者守住光明、并自由地享受生活?这也是实现“十四五”全国眼健康规划的重要一环。
想要实现对眼科疾病的早诊早治,很大程度上基于眼科影像学的发展。
我国眼科影像技术如今已有70余年发展史,从眼底血管造影到眼部超声检查,从眼底照相机到MRI,尤其是OCT的出现…无不促进了眼科诊疗水平的整体提高。但全民眼健康仍任重道远。
凌云光拥有丰富视觉技术积累和久经验证的应用经验,为此,我们发起了《眼科影像新势力》专栏,一方面用以展示眼科影像前沿技术、先进器件和优选解决方案,助力眼科从业者更好地理解眼科成像的奥秘,另一方面也将聚焦眼健康分享科普干货,帮助眼视光患者更好保护眼睛。“Better Vision,Better Life”,让眼科成像的先进成果能够惠及到更多的人。
今天,我们来了解眼底血管造影技术,一种先进的眼底病诊疗技术。
视物模糊?眼前黑影浮动?眼胀?需要注意了,这可能不是近视眼、老花眼惹的祸,而是眼底病病变的征兆!所谓的眼底病,就是指眼底部位的病变,视网膜、视盘和脉络膜发生的病变,都叫做眼底病。尽管眼底这个部位看不见摸不着,但大部分的眼底病是可以通过眼底检查发现的,眼底血管造影就是一种重要的检查手段。

眼底血管造影,是通过将能够发出荧光的造影剂经静脉注入受检者体内,同时利用有特殊滤光片组合的眼底照相机进行眼底照相,动态观察造影剂在眼底视网膜及脉络膜循环全过程,能在活体人眼中反映出视网膜屏障的受损状态,动态捕捉视网膜大血管至毛细管的生理、病理情况。临床医生借助眼底血管造影检查结果,可诊断和处理糖尿病视网膜病变、老年黄斑变性、高血压视网膜病变、静脉阻塞等常见眼底病和青光眼视盘、视网膜神经纤维层分析等,并可观察病变变化和评价治疗效果。
检眼镜检查是最基本的眼底检查方法,虽然其有成本低廉,迅速、方便、精确、无信息损失的优点,但检查需要散瞳,且要求检查者具备较丰富的先验知识,客观上不能保存,不利于追踪观察和对比诊断。眼底照相的优势是可快速获取不同视野范围的眼底图像,包含有活体信息和特征,直观明了,准确高,较全面反映病变,并具有数字化保存功能,便于定期对比观察。

眼底血管造影技术根据使用的造影剂的不同,可分为眼底荧光素血管造影(fluorescein fundus angiography ,FFA) 和吲哚菁绿血管造影(indocyanine green angiography,ICGA)。
FFA是20世纪60年代发展的一项技术。1961年Navotny 和Alvis首次成功地用胶片记录到荧光素流经视网膜和脉络膜血管的动态过程,开创了眼底荧光血管造影的临床应用时代。如今,FFA主要用于观察视网膜血管及其血液循环状态,高清晰摄像技术能动态捕捉视网膜毛细血管的循环状态,间断或连续采集可形成视网膜静态的黑白图像或动态图像,在诊断中敏感性强,确诊率高,能发现检眼镜或眼底照相下不易发现的视网膜深层微血管瘤,是判断视网膜病变的“金标准”。
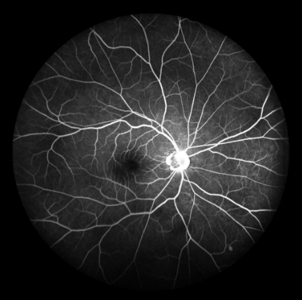
FFA影像
1956年,ICGA 首先被使用于心功能和肝脏的功能检查。1995年Bishoff等研制了可以FFA和ICGA同步进行的眼底照相设备,得到了高分辨率、大广角的图像,结合计算机技术的应用,可以得到三维组合的眼底图像。


ICGA主要用于观察脉络膜的血管结构和循环特点,揭示脉络膜循环的细节,是目前PCV诊断的“金标淮“。且由于吲哚青绿染料具有与荧光素钠不同的特性,所以能更加直观地了解脉络膜血管循环状态,可弥补FFA检查看不清脉络膜循环的不足,在某些特殊情况下可协助FFA对视网膜血管性疾病诊断作出补充。
ICGA影像
FFA和ICGA的应用,极大提高了对视网膜脉络膜疾病的诊断和研究。

对于眼底造影机来说,不仅需要眼底血管造影的影像,还需要有红外影像、无赤光影像、彩照影像,自发荧光影像、以及拍摄造影前的检测影像等,以提供多种检测方式,排除假荧光。
FFA视网膜/ICGA脉络膜影像:FFA,造影剂荧光素钠可吸收490nm的蓝色激发光后发射出的520nm的黄绿色荧光;ICGA,造影剂吲哚菁绿吸收795nm的激光后发射出830nm的荧光。根据荧光素的吸收和发射光谱的差异作为眼底造影相机滤光片选择和组合的依据。
无赤光影像:观察神经纤维层,黄斑前膜,视网膜褶皱等位置,也可在造影前拍摄排除假荧光。
近红外影像:穿透力强,观察黄斑前膜和黄斑囊样水肿。
眼底彩照影像:针对小瞳孔和屈光介质浑浊,也可在造影前拍摄排除假荧光。
自发荧光影像:用于评估和监测视网膜上皮色素(RPE)的状况。

LT-C/M4430 相机产品优势:
芯片结构为正方形, 4/3"英寸,对角线21.6mm
1970万分辨率,实现眼睛的图像信息的大采样
高速 USB 3.1 Gen 1 接口,全分辨率下帧速率高达 28 fps
在520nm(FFA)有将近70%的QE响应,在近红外波段也有较高QE响应
高性能成像功能,包括准确的色彩再现、低噪声和高动态范围

X-Cite NOVEM产品优势:

从UV360至IR800的全光谱覆盖范围,可响应荧光染料的激发
9通道波长选择,独立可控输出
通过speedDIAL、USB、TTL、模拟进行控制
光源寿命可达25,000小时
2025-09-11
2025-05-15
2022-05-27
2025-08-27
2025-11-04